본문 바로가기
카테고리 없음

원숭이두창에 대해 알고있는 모든것을 정리해 보았습니다

by 생생기자 2023. 4. 10.
반응형

 기자맨의 최근 생활뉴우스 

원숭이두창

엠폭스 (원숭이 두창)
MPOX
원숭이 두창 바이러스(Monkeypox Virus)
이명
원두(猿痘)
원두증(猿痘症)
원숭이 두창
국제질병분류기호
(ICD-10)
B04
의학주제표목
(MeSH)
D008993
진료과
감염내과
질병 원인
원숭이 두창 바이러스(MPXV) 감염
관련 증상
발열, 근육통, 두통, 수포성 발진
관련 질병
두창, 천연두, 우두

1. 소개

 

엠폭스(MPOX)는 천연두와 우두(牛痘) 등이 포함된 오르토폭스바이러스(Orthopoxvirus) 속의 원숭이 두창 바이러스(Monkeypox virus, MPXV)가 일으키는 희귀 인수공통전염병입니다.

 

2. 명칭

 

본래 '원숭이 두창'을 가리키는 'Monkeypox'가 정식 명칭이었고 'MPOX' 쪽은 약어였으나, 2022년 11월경 세계보건기구에서 '특정 문화 및 지역과 관련하여, 감염자에 대한 차별과 낙인이 생기는 것을 방지(정치적 올바름)'하기 위해 정식 명칭을 'MPOX'로 변경하였습니다.
이에 같은 해 12월 14일 질병관리청에서도 이에 대응하는 한국어 표기를 '엠폭스'로 변경할 것을 관계기관에 권고하였습니다.
다만, 원인바이러스의 이름은 '원숭이 두창 바이러스'가 유지됩니다.

 

3. 보고

 

본래 MPXV는 중서부 아프리카의 열대우림에 서식하는 원숭이 사이에서 전파되는 바이러스이나, 감염된 동물에 접촉한 사람에게도 발병합니다.
1958년 덴마크 코펜하겐의 실험용 원숭이에서 최초로 발견되었으며, 1970년 인간에 대한 발병이 보고된 이후 각지에서 감염 사례가 보고되고 있습니다.
원숭이 두창의 치명률은 약 10% 미만으로, 인간 두창인 천연두에 비해서는 증상과 치명률이 낮으나 오르토폭스바이러스속의 다른 바이러스처럼 전파율이 높으며 감염자와의 직접 접촉을 제외한 비말 등 체액이나 바이러스 등에 오염된 물건과 접촉하는 것으로도 전염될 수 있습니다.

 

4. 증상

 

원숭이 두창 감염 시 초기 증상은 열, 두통, 근육통, 탈진처럼 독감과 유사한 증상 그리고 임파선염 등입니다.
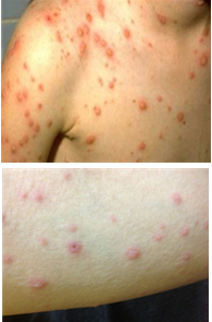
이후 1~5일이 지나면 얼굴에서부터 울퉁불퉁한 발진이 생기기 시작하여 다른 신체 부위와 전신으로 번집니다.
천연두와 매우 유사한 증상, 그리고 실제로도 천연두와 같은 계열의 바이러스성 감염 질환이기에 천연두의 사촌이라고도 불립니다.
본래 '두창'이라는 용어도 천연두의 유의어다.
결막염, 피부 감염, 폐렴, 뇌염 등 여러 가지 합병증을 유발할 수도 있는데, 환자 중 23% 정도가 눈 관련 합병증을 보인다고 합니다.
비교적 치명률은 낮지만 얼굴과 손 발에 발진과 수포가 발생하여 완치 후에도 켈로이드성 흉터가 남을 수 있다는 점이 우려됩니다.
원숭이 두창 감염자의 실제 증상(열람시 불쾌감 주의).
대부분의 경우 감염 후 2~4주 정도 지나면 증상에서 회복되지만, 중증으로 진행될 시에는 폐출혈에 이르러 심하면 사망하는 경우도 있습니다.
잠복기는 5~17일입니다.

 

5. 전파

 

사람은 이 병에 감염된 동물에게서 옮는 경우가 대부분입니다.
즉, 감염된 동물에게 물리거나 해당 동물의 환부 및 피나 체액과 접촉하거나 섭취시 전염됩니다.
사람 간 전염은 드물지만 가능한 것으로 알려졌습니다.
감기처럼 비말 감염, 공기 감염은 일어나지 않는 것으로 알려져 있지만 콧물과 침 등 호흡기 분비물에 직접 접촉하거나 감염 환자의 수포 등 환부를 만지면 감염될 수 있습니다.
에이즈처럼 파악된 환자들 중 남성 동성애자 비율이 대다수를 차지하여 항문성교를 통한 감염 가능성이 제기되고 있지만, 아직 연구가 덜 된 만큼 WHO는 아직 구체적인 과학적 근거가 없다고 밝혔습니다.
일부 학자들은 성적인 형태, 생식기 형태의 성병에 대한 가능성을 말합니다.
반론으로는 성관계 시 밀접한 접촉이 불가피하기 때문에 '성적인 형태, 생식기 형태의 성병이 아닌 단순 접촉으로 인한 전파나 침구류 및 물체로 인한 전파가 아니냐'며 동성간 성행위를 콕 집는 전파에 대해선 조금 지나친 해석이라는 주장이 있습니다.
하지만 게이 집단에서의 발병이 두드러진 것 때문에 사실 여부와는 별개로 호모포비아(혐동성애) 여론이 커지고 있습니다.
흔히 말하는 항문성교로 인해 에이즈를 비롯한 병에 걸린다는 것은 정확히는 항문성교 과정에서 항문이 찢어져 상처가 나서 상처를 통해 바이러스에 감염되는 것으로 이는 게이끼리가 아니라 남녀사이에도 남성이 여성의 항문에 성기를 삽입 하는 경우에도 마찬가지다.
애초에 항문은 대변을 배출하기 위한 소화 기관이지 생식 기관이 아니며 성기를 삽입하는 것만으로도 찢어지는게 가능할 정도로 약한 부위다.
게다가 안그래도 항문은 신체에서 가장 더러운 부위중 하나인데 그런 곳에 상처가 나게되면 다른 부위에 똑같이 상처가 났을 경우랑 비교했을때 더욱 치명적입니다.

 

6. 변이

 

원숭이 두창 변이는 두 종류로 서아프리카 변이와 중앙아프리카 변이가 있습니다.

 

7. Clade1 (중앙아프리카 혹은 콩고민주공화국 변이)

 

2022년 5월 22일, 세계보건기구(WHO)의 공식 보도 자료에 따르면, 중앙아프리카 변이의 경우 치사율이 10.
6%라고 합니다.

 

8. Clade2 (서아프리카 변이)

 

2022년 5월 22일, 세계보건기구(WHO)의 공식 보도 자료에 따르면, 서아프리카 변이의 치사율은 3.
6%로 중앙아프리카 변이에 비해 증상과 치사율이 약하다고 합니다.

 

9. Clade2 하위 변이

 

본 내용은 바이러스학 전문 포럼 Virological에 2022년 5월 24일 기재된 내용을 바탕으로 작성 되었습니다.
2022년 5월 24일, 포르투갈 리스본 국립 의료원(INSA)가 포르투갈의 원숭이 두창 감염자 9명으로부터 확보한 게놈 서열을 공개했습니다.
해당 아티클의 제목은 "다국적 발병 원숭이 두창 바이러스의 유전적 분화와 소진화의 첫 징후"입니다.
제목에서도 알 수 있듯이 내용은 "포르투갈의 원숭이 두창 감염자들의 게놈 서열에서 원숭이 두창이 돌연변이한 것으로 추정되는 징후가 발견되었습니다.
"이며, 이 외에는 현재 다국적 발병 원숭이 두창 바이러스는 2018년 당시 영국과 이스라엘에서 확인된 나이지리아 변이와 유사합니다.
"현재 전세계에 퍼진 원숭이 두창이 모두 같은 변이일 것으로 추정한다"고도 기재되있습니다.

 

10. 예방 및 치료

 

2022년 5월 19일 WHO는 보도자료에서, 천연두에 대한 예방접종은 여러 관찰 연구를 통해 원숭이 두창 예방에 약 85% 효과적인 것으로 입증되었고, 천연두 백신을 접종하면 증상이 경미할 수 있다고 주장했습니다.
2022년 상반기까지만 해도 2세대 및 3세대 천연두 백신 제작사들은 실제로 천연두 백신 접종을 완료한 사람에게서 원숭이 두창에 대한 면역 임상을 실시한 바가 없었으나, 2022년 9월 29일 미국 CDC에서 3세대 백신인 진네오스에 대해 예방효과가 확실하다고 발표했습니다.
1차 접종 만으로도 예방효과가 어느정도 있다고 하며, 좀 더 확실한 예방효과를 위해서는 2회 접종할 것을 주장했습니다.
또한 SIGA Technology사 개발하여 2018년 FDA 승인을 받은 원숭이 두창 및 천연두용 항바이러스제 TPOXX(Tecovirimat)은, 경구용 즉 먹는 항바이러스제로 섭취가 매우 편하며 임상 결과 매우 낮은 부작용률과 매우 건전한 부작용 증상을 보였고, 최근 감염세가 크게 확산되면서 감염자들에게 처방되고 있는데 감염자들의 증상을 크게 호전시켜주고 있다고 합니다.
SIGA Technology사의 TPOXX(Tecovirimat)는 미국과 유럽 등지에서 대량으로 주문되고 있으며, 대한민국 또한 얼마전 TPOXX를 주문하여 공수받은 것이 확인되었습니다.

 

11. 2003년 미국 원숭이 두창 확산

 

2003년, 미국 6개 주에서 47명이 감염된 원숭이 두창 확산 사태.
사망자는 없었습니다.
가나의 수도 아크라에서 미국의 텍사스로 데려온 설치류들에서 처음 시작되었습니다.
이곳 설치류들이 여기저기로 퍼져나가 여러 명이 감염되었던 것.
그리고 특히 이 중 설치류들을 데려가서 감염된 아이오와주 사람을 매개로 일리노이주 프레리독 시설이 감염되었으며, 이곳에서 프레리독을 가져간 사람들을 매개로 가정집, 펫스토어, 동물병원 등이 줄줄이 감염되었습니다.
, 당시로서는 그렇게 큰 규모의 확산은 아니였을 뿐더러, 아래 문단의 2022년 세계 엠폭스 확산 사태는 확산 3개월차인 2022년 7월 31일 기준 감염자가 22,000명이 넘은 것에 비해 매우 작은 규모이고 영국 보건당국(UKSHA)가 2022년 세계 엠폭스 확산 사태가 지역사회 전파가 분명하다고 밝힌 것과는 대비되게 2003년 당시 CDC는 지역사회 전파가 아니라고 발표 했었습니다.

 

 

 원숭이두창,증상,나무위키,초기 증상,한국,현황,바이러스,나무,원인,치료,프로필 

반응형

댓글